avenjers71 (7) گزارش تخلف چای، خطر سرطان رحم را کاهش میدهد خطر ابتلاء به سرطان رحم در زنانی كه روزانه حداقل دو فنجان چای میخورند تا بیش از ۵۰ درصد كاهش پیدا میكند. شواهدی وجود دارد كه نشان میدهد چای سبز و چای سیاه خطر ابتلاء به برخی از سرطانها را كاهش میدهد. هر فنجان چای اضافهتر در روز میتواند ۱۸ درصد دیگر خطر ابتلاء به سرطان رحم را در زنها كاهش دهد. بنابراین به زنها توصیه میشود ... 9 0 0 54 5 سال پیش
avenjers71 (7) گزارش تخلف عوامل موضعی مؤثر در بیماریهای لثه یكی از عوامل التهاب باكتریهای موجود در پلاك است. جرمها، كارهای غلط دندانپزشكی و پروتزهای ثابت و متحرك و خرده غذایی كه قبلا وجود داشتهاند، نیز از عوامل مسبب بیماریهای لثه است كه موجب ایجاد شرایط مساعد برای جمع شدن پلاك میگردد.تأثیر اصلی در این است كه روی سطح ناصاف آنها پلاكهای میكربی تجمع پیدا میكنند و این امر نقش مهمی در پیشرف... 9 0 0 57 5 سال پیش
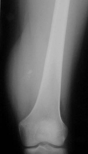
avenjers71 (7) گزارش تخلف سرطان استخوان اسکلت انسان را استخوان , که جسم جامدی است تشکیل می دهد و به شکلهای گوناگون در بخشهای مختلف بدن قرار دارد . بخش بیرونی استخوان بسیار سفت و سخت و مرکب از املاح معدنی و مواد آلی است .سرطان استخوان از سنین شیرخوارگی تا سالمندی می تواند ایجاد شود و سبب فلج عضو و یا مرگ فرد مبتلا شود . سرطان استخوان به سارکوم Sarcome نیز شهرت دارد و در ت... 9 0 0 59 5 سال پیش
avenjers71 (7) گزارش تخلف بروز اوتیسم اوتیسم بیماری است كه شاید كمتر شناخته شده باشد. این بیماری نه تنها برای كودك بلكه اعضای خانواده نیز از نظر عاطفی می تواند مشكل آفرین باشد. محققان به تازگی دریافتند كه خطر ابتلا به این اختلال در كودكان كه پدران آنها مسن تر هستند به مراتب بیشتر است و پدران بالای ۴۰ سال شش برابر بیشتر از پدران زیر ۳۰ سال شانس این را دارند كه كودكشان ب... 9 0 0 51 5 سال پیش
avenjers71 (7) گزارش تخلف مصرف شیشه شیشه:نام اصلی این مواد آیس به معنای یخ می باشد. دلیل اصلی نام گزاری این مواد این است که چون در مجاورت حرارت قرار می گیرند همانند یخ بخار می شوند. شیشه در رده آمفتامین ها است و خاصیت محرکی دارد.● طرز مصرف:شیشه توسط پایپ که یکی از لوازم آزمایشگاهی است کشیده می شود. مقدار خیلی کمی از شیشه را داخل گودی پایپ ریخته زیر آن را حرارت ... 9 0 0 107 5 سال پیش
avenjers71 (7) گزارش تخلف همیشه لب هایتان را چرب نگه دارید استفاده از هر نوع ماده چرب برای حفظ سلامت پوست لب موثر است. تغییر فصل و دما، کاهش ایمنی بدن، کمبود برخی از ویتامین ها، کمبود آهن، استفاده از فرآورده های آرایشی و بهداشتی، استرس و قارچ ها باعث خشکی و ترک خوردگی پوست لب می شود که این علائم همراه با خارش، سوزش، خشکی و یا عفونت است.تاتو کردن لب ها نیز از جمله عوامل خطرزا برای پوست لب ه... 9 0 0 48 5 سال پیش